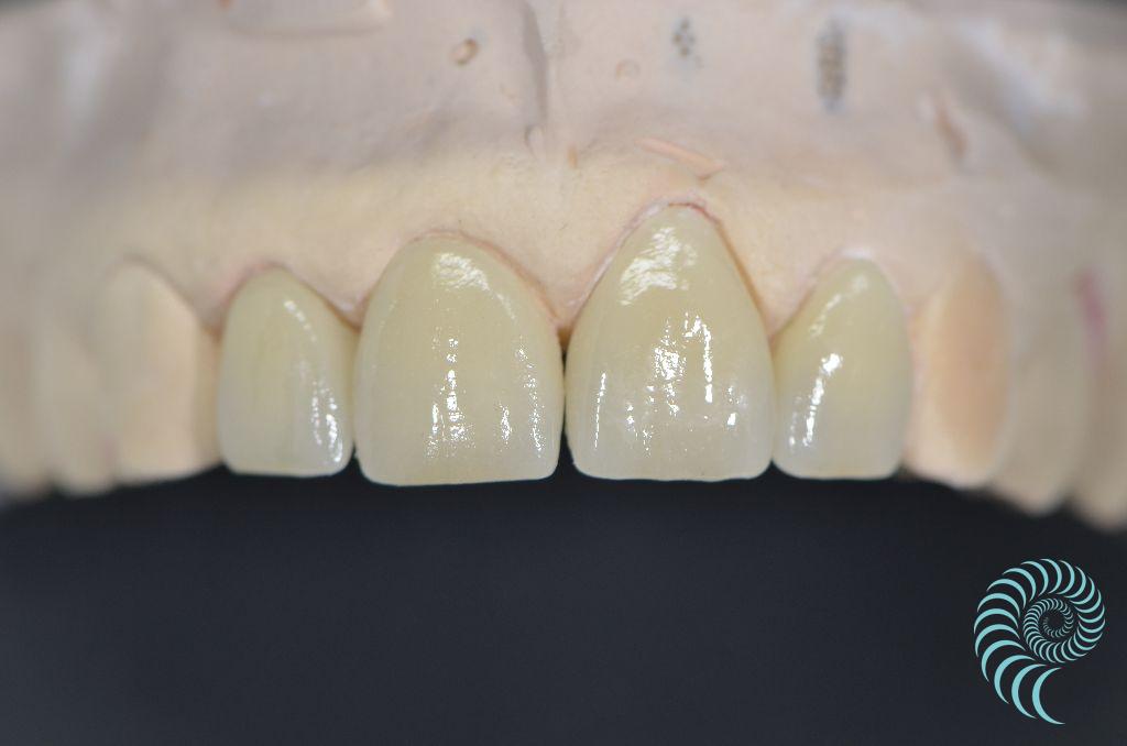
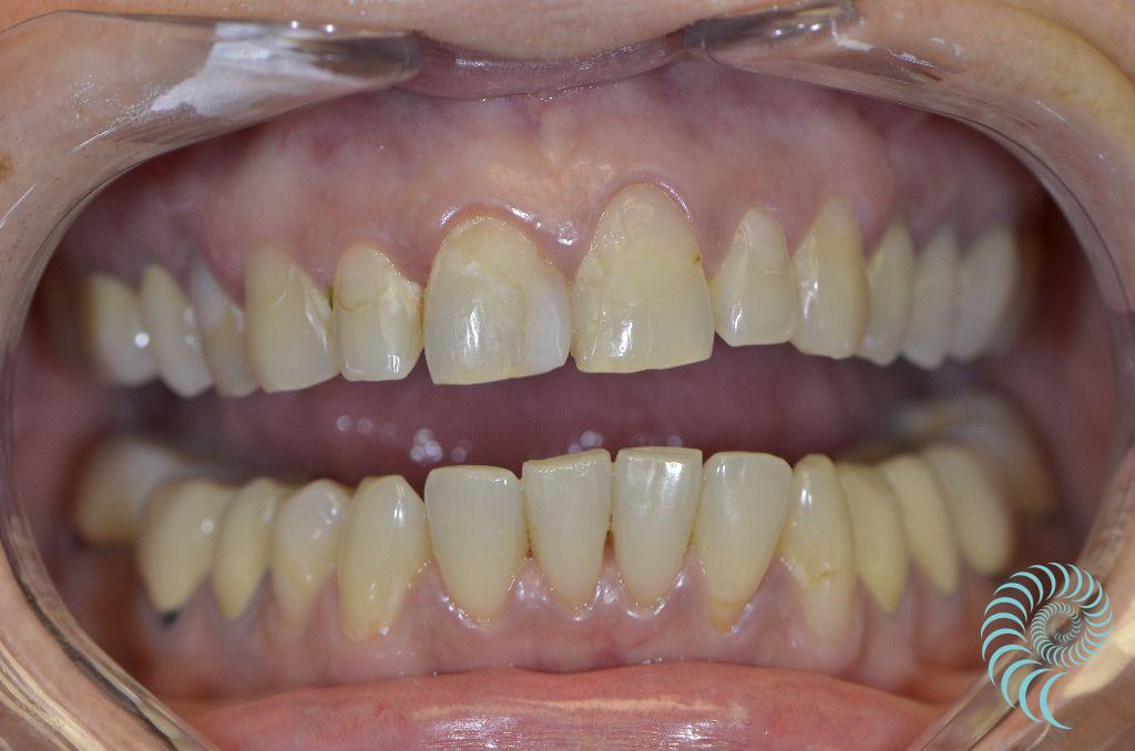
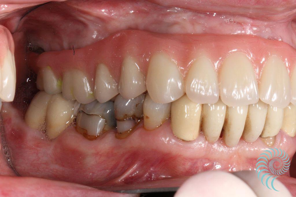
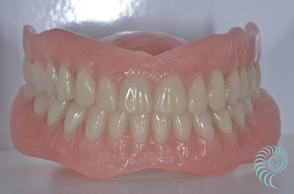
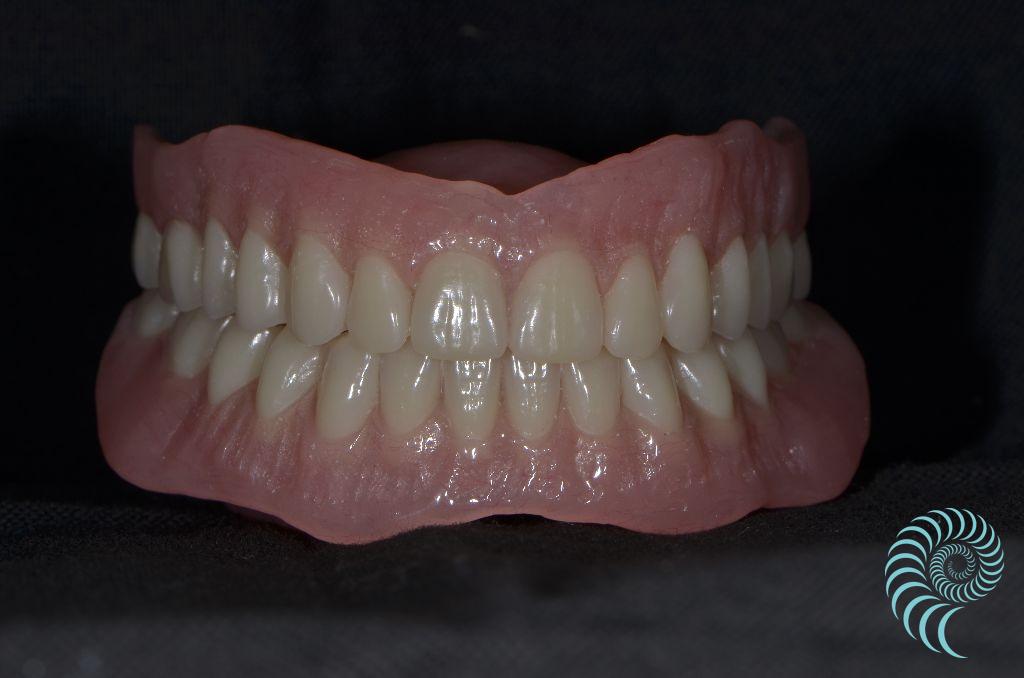
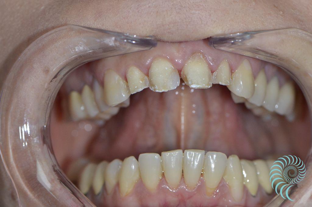
Adjointe prothèse complète prothèse complète prothèse complète prothèse complète prothèse complète prothèse complète Aide à la chirurgie Nobel Guide pour chirurgie guidée angulation implants à poser coupe angulation implants àposer Guide chirurgical de pointage et provisoire de mise en charge Forage puis pose de l’implant Forage grace au guide de pointage Conjointe Conventionnelle Incisives maxillaires Emax conjointe conventionnelle Incisives maxillaires Emax conjointe conventionnelle Incisives maxillaires Emax conjointe conventionnelle Incisives latérales maxillaires Emax conjointe conventionnelle Incisives latérales maxillaires Emax conjointe conventionnelle Incisives latérales maxillaires Emax conjointe conventionnelle Incisives latérales maxillaires Emax conjointe conventionnelle Implantologie Pilier zircone Bone Level RC barre implantaire bridge PIB zircone bridge PIB Zircone Bridge transvissé sur base titane Bridge transvissé zircone sur base titane pilier implantaire zircone pilier implantaire transvissés Barre implantaire barre implantaire barre implantaire barre implantaire barre implantaire barre implantaire Bridge SRBB coron barre implantaire Barres transvissées sur implants Les facettes céramique cas facettes emax cas facette emax cas facettes emax cas facettes emax conjointe conventionnelle Orthèses Plaque d’expansion maxillaire avec bandeau vestibulaire PUL mandibulaire avec verin d’expension PUL maxillaire avec verin d’expension gouttière occlusale gouttière de réhabilitation occlusale thermophormage Les outils numériques barre implantaire modélisation modélisation barre implantaire modélisation barre implantaire modèle implantaire usiné modèle implantaire usiné modèle implantaire usiné modéliastion SRBB coron Modélisation SRBB coron modélisation SRBB Coron modélistion d’un pilier Usinage zr translucide après usinage zr translucide zircone avant après sintérisation zr translucide après infiltration Onlays cire usinés barre implantaire usinage humide